Botón flotante de whatsapp
Logo Ortohome

Ortohome, creando Mini banner sonrisas Mini banner deslumbrantes con Alineadores Dentales Invisalign®

Experiencia en crear hermosas sonrisas, de manera simple, discreta y eficaz.

Escríbenos para agendar tu cita de valoración.

Horarios de atención

Lunes a Viernes de 10 a 19 hrs.

Sábados de 8 a 14 hrs.

Sección de nosotros

Trabajamos con Alineadores Invisalign®

Logramos grandes resultados porque en Ortohome somos Invisalign® Doctors.

Durante 25 años Invisalign® ha investigado los mejores materiales y tecnología biomecánica para crear los alineadores dentales invisibles más cómodos y efectivos que mejorarán la sonrisa de nuestros pacientes.

Con la experiencia y capacitación de nuestros ortodoncistas, y la tecnología de Invisalign®, se crea el plan de tratamiento para lograr una sonrisa bien alineada.

+18

millones de sonrisas logradas

100%

pacientes satisfechos

El tratamiento que se alinea a tu vida

Resultados contundentes, rápidos y cómodos

Corregir problemas de mordida, espacio entre dientes o simplemente mejorar la estética de tu sonrisa ¡nunca había sido más fácil!

El tratamiento que se alinea a tu vida
alineadores discretos

Discretos

Son casi imperceptibles por el material con el que están hechos y no lastiman tus encías.

Son removibles

Son removibles

Adaptándose a tu estilo de vida. Puedes comer tranquilamente y realizar tu higiene bucal correcta.

Los más predectibles

Desde tu primera cita puedes conocer el resultado del tratamiento.

Cómo funcionan

Conoce paso a paso cómo trabajan

Nuestros ortodoncistas abren tu expediente y realizan un estudio general de tu caso.

Se realiza la toma digital de cada parte de tu boca y dientes para conocer a fondo la posición de estos. El escaneo se guarda en un software que materializará la magia.

Tu ortodoncista arma tu plan de tratamiento con la tecnología de Invisalign®. Cada movimiento de tus dientes es planeado de inicio a fin calculando la fuerza necesaria para mover tus dientes.

Usando tecnología 3D y material de vanguardia, se crean todos los alineadores que necesitarás.

Acordamos un calendario de citas. Este paso es muy importante para lograr los resultados deseados.

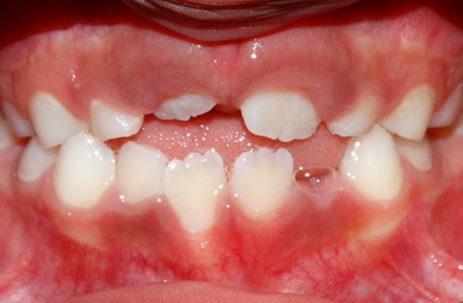
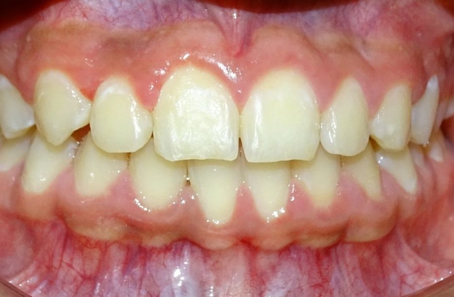
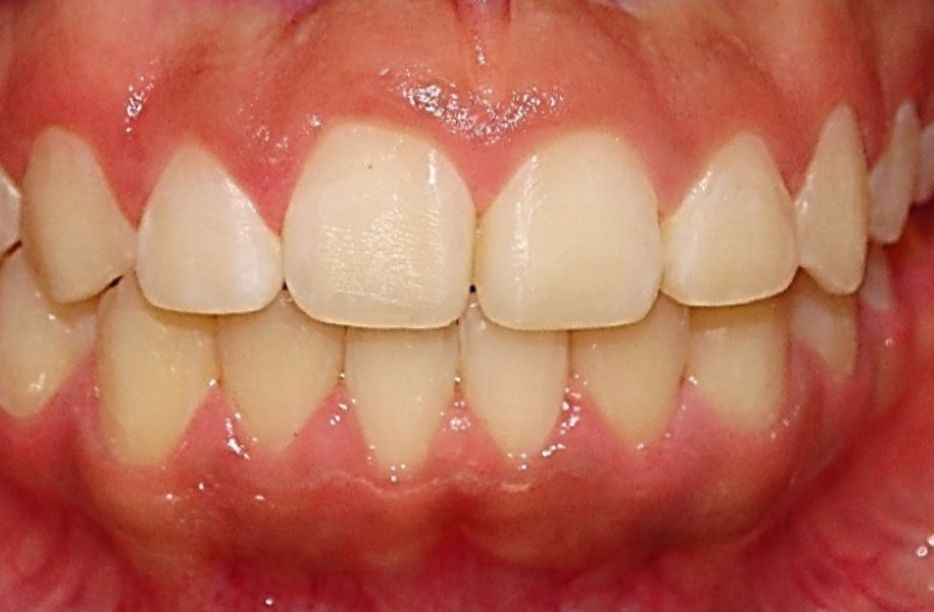
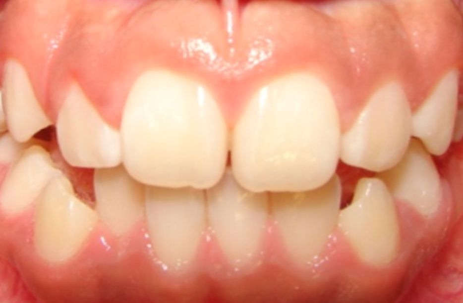
Ve la transformación

Resultados sorprendentes con grandes cambios en su confianza al sonreír

¿Quieres conocer tu nueva sonrisa?

Somos Ortohome y no hay nada que nos guste más que ver a nuestros pacientes con una hermosa sonrisa

Nuestro equipo de profesionales altamente calificados en técnicas de tratamientos modernos e indoloros están listos para atenderte.

Lo mejor para nuestros pacientes.

Siempre buscamos trabajar con el mejor material, tratamiento y asistencia dental.

Nos adaptamos a tu ritmo de vida.

Contamos con horarios amplios para que no postergues más tu salud bucal.

Dentista
Alineadores

100+

de sonrisas logradas

Ellos ya lo probaron

Historias reales de nuestros pacientes que han decidido mejorar sus sonrisas

Me tronaba la mandíbula. Gracias a que usé los alineadores dentales, ya no me suena la articulación temporomandibular y puedo dormir mejor.

Testimonio Carolina Soto

Carolina Soto

Ningun otro especialista me había dicho que se podía corregir mi mordida. Me realizaban muchas cirugías dentales, antes de saber la raíz de mis problemas. Hasta que la Dra. me sugirió mis alineadores Invisalign

Testimonio Yahir Huitron

Yahir Huitron

Yo vivo en Miami y me encanta poder atender mi salud bucal usando Invisalign. Voy a mis revisiones a México cada 6 meses. ¡Me encanta que sea tan fácil y con resultados increíbles!.

Testimonio Adriana Cisneros

Adriana Cisneros